Существует поговорка о том, что если простуду лечить, она будет длиться 7 дней, а если не лечить – неделю. И некая доля правды в этом выражении все же присутствует. Организм взрослого человека или ребенка активно борется с болезнью внутренними ресурсами, ведь до сих пор нет эффективного препарата, воздействующего непосредственно на возбудителя ОРЗ, а не только убирающего воспаление голосовых связок, потливость, которую вызывает температура от 37 и выше градусов, потерю вкуса, а также когда заложило уши, и прочие симптомы.
Зачем тогда тратить силы на лечение – полоскать горло, капать нос или делать прогревания? Ведь эти средства не могут воздействовать непосредственно на вирус, соответственно, не уменьшают продолжительность течения заболевания, из-за чего температура 37 и выше градусов, потеря вкуса, потливость и воспаление голосовых связок остаются с больным, как минимум, на неделю.
И все же, официальная медицина настаивает на подобном формате лечения, так как он позволяет предупредить возможные осложнения ОРВИ, имеющие негативные последствия для здоровья ребенка или взрослого.
Причины и виды осложнений
Многие люди считают, что мир вращается слишком быстро, поэтому, чтобы успеть все, что запланировали, никак нельзя болеть. Именно поэтому многие переносят не только банальное ОРЗ на ногах, но и более серьезные заболевания, не задумываясь какие осложнения ОРВИ могут ожидать их в будущем. Из первой причины появляется и вторая.
Люди намеренно отказываются от лечения, игнорируя капли для носа и спреи для горла. А ведь риск получить негативные последствия ОРВИ в случае их приема существенно меньше. Важно помнить о том, что грипп может иметь летальный исход. И речь идет не об известных всем проявлениях в виде повышения температуры до 37 градусов, кашля и насморка, а именно об осложнениях в случае отсутствия своевременного лечения.

Но нередки и те случаи, когда больной ОРЗ берется делать абсолютно все рекомендации доктора по соблюдению постельного режима и приему лекарственных препаратов, а по итогу все симптомы – температура 37 и выше градусов, потеря вкуса, потливость и прочие неприятности не просто не излечиваются, а лишь обрастают осложнениями. Подобные ситуации случаются с теми, чей организм ослаблен, и измучен хроническими заболеваниями.
Также в группе риска дети и люди пожилого возраста. Им наиболее свойственна высокая температура, потливость, нарушения вкуса.
Старики также часто жалуются на то, что у них заложило ухо. Чтобы избежать подобных последствий, следует делать профилактику простуды и укреплять иммунитет.
Когда вирус начинает проходить, через неделю, на ослабленный за время болезни организм начинается мощная атака бактерий. Так развиваются бактериальные осложнения после ОРВИ. Не у каждого взрослого найдется достаточно сил на борьбу, а у ребенка шансов противостоять микробам еще меньше. В таких случаях важно вовремя обратиться к доктору и получить лечение антибактериальными средствами.
Основные бактериальные осложнения носят воспалительный характер и поражают:
- уши;
- носовые пазухи;
- легкие;
- бронхи.
Также одним из бактериальных осложнений является ангина – инфекция, причины ее появления – бактерии стрептококка. Характерные ее черты – сильная боль в горле и лихорадка. Также возможно поражение голосовых связок, извращение вкуса и тошнота. Все симптомы напрямую связаны с проявлением болезни в виде гнойного налета на миндалинах.
Потеря вкуса во многом связана с тем, что язык покрывает налет, перекрывая пище доступ к вкусовым сосочкам. Для возвращения вкуса следует использовать ежедневные полоскания полости рта солевыми растворами.
Синусит появляется спустя неделю после начала заболевания и усиливается постепенно – появляются гнойные выделения, держится температура 37 и выше, соответственно, появляется потливость, головные боли и ноющее ощущение в носовых пазухах. Если болезнь поразила уши, это вызывает развитие отита. Появляются боли и посторонние звуки в ушах. В таких случаях пациенты жалуются на то, что у них заложило уши.
Бронхит – одно из осложнений, для которого характерен мокрый остаточный кашель после ОРВИ и температура 37 и выше градусов. Во время кашля может происходить выделение мокроты. Из-за нее пациент ощущает сложности с дыханием.
Пневмония – еще одна болезнь, которая приходит после невылеченного ОРЗ. Ее симптоматика обширна и включает лихорадку, кашель после ОРВИ с выделением мокроты, боли в боку и даже проблемы с сердечной деятельностью.
Бронхит часто становится причиной поражения и голосовых связок. Мокрота, выходящая из бронхов, может нести вредоносные бактерии, которые оседая на голосовых связках, вызывают их мощное воспаление. В таких случаях можно на неопределенный срок лишиться голоса. Восстановление голосовых связок может проходить только при воздействии медицинских препаратов.
Очень важно в процессе лечения не создавать перенапряжения для голосовых связок – категорически запрещено кричать и даже громко разговаривать.
Если пренебрежительно отнестись к данной рекомендации, полноценное восстановление голосовых связок может так и не произойти.
В таком случае после ОРЗ у пациента на всю жизнь меняется голос, а слабость голосовых связок делает их легкой мишенью для поражения инфекцией в будущем.

Врачи предупреждают о серьезных осложнениях, которые могут возникнуть при отсутствии своевременного лечения ОРВИ. Среди наиболее распространенных последствий – пневмония, бронхит и синусит. Эти заболевания могут развиваться на фоне ослабленного иммунитета, что делает организм более уязвимым к инфекциям. Кроме того, у некоторых пациентов могут возникнуть сердечно-сосудистые осложнения, такие как миокардит, особенно у людей с предрасположенностью к сердечным заболеваниям. Врачи акцентируют внимание на том, что игнорирование симптомов ОРВИ может привести к хроническим заболеваниям дыхательных путей и ухудшению общего состояния здоровья. Своевременное обращение к специалисту и адекватное лечение способны предотвратить эти риски и ускорить процесс выздоровления.
ОРВИ, хотя и считается относительно легким заболеванием, может привести к серьезным осложнениям, если не уделить должного внимания лечению. Многие люди недооценивают последствия, полагая, что болезнь пройдет сама собой. Однако, по словам врачей, игнорирование симптомов может привести к бронхиту, пневмонии или даже синуситу. Особенно уязвимы дети и пожилые люди, у которых иммунная система ослаблена.
Кроме того, отсутствие своевременного лечения может затянуть процесс выздоровления и увеличить риск хронических заболеваний. Люди часто отмечают, что после перенесенной ОРВИ у них сохраняется усталость, кашель и другие неприятные симптомы, которые могут длиться неделями. Поэтому важно не только следить за своим состоянием, но и обращаться к врачу при первых признаках заболевания, чтобы избежать возможных осложнений и сохранить здоровье.

Осложнения с тяжелым лечением
Проблема осложнений после простуды, к сожалению, не ограничивается бактериальными инфекциями. Существует несколько заболеваний, развитие которых наступает сразу же после того, как начинает проходить ОРВИ. Да, встречаются они не слишком часто, поэтому важно знать характерные симптомы, и что делать при их обнаружении.

Наибольший вред не вылеченная до конца простуда наносит именно сердцу. Определить причины появления болей в сердце и перебоев в его работе могут далеко не все, так как подобные проявления мало кто связывает с недавним насморком. Но все же миокардит и перикардит встречаются на фоне ОРЗ. Помимо проблем с сердцем имеется бледность кожи.
Еще один тип осложнений – синдром Рея, чаще всего встречающийся у ребенка, которого родители во время гриппа лечили Аспирином. Данный синдром сильно поражает печень ребенка, из-за чего в большинстве случаев требуется трансплантация органа. Именно поэтому если температура держится на уровне 37 градусов, сбивать ее не нужно.
В тех же случаях, если температура не держится на допустимом уровне, а только повышается, нужно использовать парацетамол, но не Ацетилсалициловую кислоту. Также рекомендуется, если температура у ребенка держится на протяжении длительного времени на уровне 37 и выше градусов, собрать волосы – мальчикам за уши, а девочкам в хвост. Косичка, хвост или аккуратно убранные за уши волосы предотвращают развитие потниц, которые вызывает повышенная потливость, сопровождающая температуру от 37 и выше градусов.
Если не убирать волосы, очень потеет шея. Кожа на шее очень нежная, поэтому, когда потеет, она покрывается высыпанием. Именно это раздражение называют потницей. Также у маленьких детей потеет спина, если они продолжительно время лежат на ней во время болезни.
Еще одно серьезное заболевание среди осложнений ОРЗ – это воспалительные процессы в почках, которые проявляют себя лишь через 2-3 недели после избавления от простуды. Первыми симптомами, на которые следует обратить внимание, являются мощная отечность, быстрая утомляемость, потливость, потеря вкуса, а также кровь в моче.
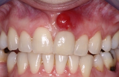
Также пониженный иммунитет или недостаток лечения простуды нередко вызывают флюс. Данное заболевание представляет собой мощное воспаление в надкостнице челюсти. Также встречается название флюс на десне, так как именно эта часть челюсти опухает больше всего, из-за чего также очень сильно болят зубы.
Так как флюс является в большей степени стоматологическим заболеванием, существует несколько его форм, соответствующих именно сфере лечения зубов. Но в случае с осложнениями после простуды может возникать:
Гнойный флюс создает во рту пациент очаг воспаления, наполняющийся гнойными выделениям. Новообразование, к которому приводит флюс, выглядит как небольшой мешочек с четкими границами. При несвоевременном лечении такой флюс может стать причиной образования свищей.
- Диффузный флюс распространяет воспалительные процессы по всей челюсти. В таких случаях флюс уже не концентрируется в одном очаге, а может развиваться одновременно в нескольких участках челюсти. Чтобы излечить такой флюс, привлекаются челюстно-лицевые хирурги.
Серьезной проблемой будет и парез. Парез – общее название поражение лицевого нерва. Именно лицевой нерв чаще всего поражается при неправильном или несвоевременном лечении простудных заболеваний. В случае с ОРЗ это осложнение осложнения, так как парез возникает на фоне отита. Парез развивается и проявляет свои симптомы через 5 дней после начала болезни.
Парез имеет стандартную для местного паралича симптоматику – неподвижные кончики рта, рот перекашивается во время улыбки, а в процессе поднятия бровей не возникают кожные складки. Многие пациенты жалуются на то, что у них заложило уши. Также парез сопровождается повышенным слюноотделением, пересыханием глазных яблок. Парез нередко вызывает извращение вкуса, на фоне чего появляется тошнота в процессе приема пищи.
Парез – заболевание со сложным лечением, он начинает проходить только через полгода при наличии постоянного медицинского вмешательства.
Чтобы излечить парез потребуются не только мощные лекарства, но и постоянная физиотерапия. Специалисты настаивают на том, что парез быстрее будет проходить, если регулярно делать массаж лица.
Чтобы избежать осложнений у ребенка или взрослого после ОРЗ – следует своевременно обратиться к врачу. Доктор назначает медикаментозную терапию антибиотиками, которые блокируют в ослабленном организме вредоносную деятельность инфекции.
Вопрос-ответ
Какие осложнения бывают, если не лечить ОРВИ?
Наиболее частое осложнение простуды – переход симптомов в хроническую форму. Это могут быть хронический синусит, ринит, ларингит, ангина, отит. Нередко развиваются гайморит и фронтит, которые вначале протекают в острой форме, но могут перейти в хроническую.
Какие могут быть осложнения после ОРВИ?
Она может поражать любые органы и системы: мочевыделительную (нефрит, пиелоцистит), нервную (энцефалит, менингит), сердце (миокардит, перикардит). При гриппе чаще всего развиваются бактериальные поражения лор-органов (отиты, синуситы). Наиболее опасное из них — вторичная пневмония.
Чем может осложниться ОРВИ?
Осложнения. Частое осложнение ОРВИ — это присоединение бактериальной инфекции, что провоцирует развитие воспалительных процессов: бронхитов, отитов, гайморитов, пневмонии. Заболевание может осложниться присоединением инфекции мочевыводящих путей, панкреатитом, холангитом.
В чем заключается опасность частых ОРВИ?
Типичными осложнениями ОРВИ являются синусит (воспаление придаточных пазух носа), острый бронхит (впоследствии может перейти в пневмонию), средний отит (воспаление среднего уха).
Советы
СОВЕТ №1
Обратите внимание на симптомы: при первых признаках ОРВИ, таких как высокая температура, кашель или боль в горле, не откладывайте визит к врачу. Своевременная диагностика поможет избежать осложнений.
СОВЕТ №2
Следите за своим состоянием: если после начала заболевания симптомы не улучшаются в течение нескольких дней или, наоборот, ухудшаются, обязательно проконсультируйтесь с медицинским специалистом. Это может быть признаком осложнений.
СОВЕТ №3
Не занимайтесь самолечением: избегайте использования антибиотиков без назначения врача, так как они неэффективны против вирусов и могут привести к развитию резистентности. Лучше довериться специалисту для назначения правильного лечения.
СОВЕТ №4
Укрепляйте иммунитет: поддерживайте здоровье с помощью сбалансированного питания, регулярной физической активности и достаточного сна. Это поможет вашему организму лучше справляться с инфекциями и снижает риск осложнений.

Гнойный флюс создает во рту пациент очаг воспаления, наполняющийся гнойными выделениям. Новообразование, к которому приводит флюс, выглядит как небольшой мешочек с четкими границами. При несвоевременном лечении такой флюс может стать причиной образования свищей.
