Связан ли гайморит с гигиеной полости рта?

Проблема возникновения и развития острого гайморита на фоне неудовлетворительного гигиенического состояния полости рта остается актуальной и сегодня. Даже при современной культуре населения гигиена полости рта далеко не всеми соблюдается. Это происходит в силу различных причин:

  • небрежное отношение к собственному здоровью;
  • отсутствие гигиенических навыков (в странах с низким уровнем культуры);
  • трудное социально-экономическое положение и др.

Воспалительное заболевание гайморовой пазухи, чаще с одной стороны, возникшее вследствие распространения инфекционно-воспалительного процесса с пораженных зубов верхней челюсти называется одонтогенным гайморитом.

Это происходит достаточно часто – в 10-12% всех случаев гайморита – благодаря анатомической особенности соотношения гайморовых пазух и зубов верхней челюсти.

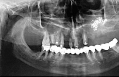
Схема распростронения

Корни зубов верхней челюсти находятся в альвеолярных отростках и в некоторых местах очень близко располагаются к полости гайморовой пазухи. Это «слабое» место, где, при нарушении тонкого барьера, микроорганизмы из полости рта могут попадать в синус верхней челюсти и вызывать патологический процесс.

Чаще всего ведущую роль в развитии патологического процесса в синусе играют нарушения структуры и физиологии:

  • в первых и вторых молярах;
  • во вторых премолярах.

В роли сопутствующих или провоцирующих причинных факторов выступают:

  • острое воспаление периодонта выше указанных зубов;
  • Верхнечелюстной остеомиелитверхнечелюстной остеомиелит;
  • нагноение радиальных кист;
  • травматическое удаление зубов;
  • наращивание кости с перфорацией мембраны Шнайдера (слизистая оболочка пазухи, прилегающая к кости);
  • имплантация зубных протезов;
  • нагноившийся корень вследствие неправильного удаления зуба (в т.ч. самостоятельного, особенно это актуально для молочных зубов);
  • лечение зубов.

Может ли быть осложнение в виде гайморита вследствие лечения у стоматолога?

Гайморит может развиться также после лечения зубов. Когда оно заключается в рассверливании кариозных полостей и пломбировке, это случается, чаще всего, вследствие некачественной работы или халатности стоматолога.

Мембрана Шнайдера

Когда пломбировочный материал попадает в полость верхнечелюстного синуса непосредственно через просверленный корень, он становится инородным (т.е. чужеродным) телом, которое вызывает воспаление.

Во втором случае, когда происходит удаление нежизнеспособного зуба, корень может повредить мембрану Шнайдера и причина перфорации, в большей степени анатомически обусловлена. Воспаление вызывается нормальной микрофлорой полости рта.

После возможно осложнение – бактериальная инфекция и появление признаков острого гнойного гайморита.

В такой ситуации необходима квалифицированная медицинская помощь.

Как вылечить насморк и гайморит быстро и просто Скачать в HD Скачать в HD Скачать в HDКак вылечить насморк и гайморит быстро и просто Скачать в HD Скачать в HD Скачать в HD

Врачи отмечают, что гигиена полости рта может оказывать влияние на развитие гайморита. Плохая гигиена приводит к накоплению бактерий и образованию воспалительных процессов в ротовой полости, что может способствовать распространению инфекции на придаточные пазухи носа. Исследования показывают, что пациенты с заболеваниями десен и кариесом чаще страдают от синуситов. Врачи рекомендуют регулярную чистку зубов, использование зубной нити и ополаскивателей для рта, чтобы снизить риск инфекций. Кроме того, важно своевременно обращаться к стоматологу для лечения заболеваний полости рта, что может помочь предотвратить развитие гайморита и других осложнений.

КАК СВЯЗАНЫ БРОНХИТ ГАЙМОРИТ И ТОНЗИЛЛИТ?КАК СВЯЗАНЫ БРОНХИТ ГАЙМОРИТ И ТОНЗИЛЛИТ?

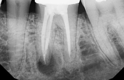
Могут ли быть корни зубов причиной заболевания?

Довольно частая анатомическая особенность, когда корень зуба расположен глубоко верхней челюсти – в нижней стенке гайморовой пазухи, где он может находиться практически под мембраной Шнайдера.

Апикальный периодонтит

В некоторых случаях толщина костной стенки между слизистой оболочкой и корнем составляет менее 1 мм. В таком случае любой воспалительный процесс в верхушке корня может послужить причиной гайморита.

Одним из самых распространенных, «безобидных» на первый взгляд, но очень серьезных заболеваний зубов является кариес – поражение происходит по самый корень и после влечет за собой воспаление. Периодонтиты, кисты и пародонтиты способствуют истончению костной стенки альвеолярного отростка верхней челюсти.

Воспаляется прилежащая слизистая оболочка, после начинает скапливаться экссудат и нарастает давление в полости пазухи, возникают жалобы и клиника гайморита.

Данная анатомическая особенность выявляется с помощью рентгенологического исследования. Если она присутствует, нужно уделять особое внимание гигиене полости рта для профилактики заболевания.

 

Мнения о связи гайморита с гигиеной полости рта варьируются. Некоторые специалисты утверждают, что плохая гигиена может способствовать развитию инфекций, которые в свою очередь могут привести к гаймориту. Неправильная чистка зубов и недостаточное внимание к деснам могут создать благоприятные условия для бактерий, которые могут распространиться в верхние дыхательные пути.

С другой стороны, многие врачи считают, что гайморит чаще всего возникает из-за вирусных инфекций или аллергий, а не из-за состояния зубов. Однако, поддержание хорошей гигиены полости рта все же важно, так как это помогает предотвратить стоматологические заболевания, которые могут ослабить иммунитет и сделать организм более уязвимым к различным инфекциям.

Таким образом, хотя прямая связь между гайморитом и гигиеной полости рта не является однозначной, забота о здоровье зубов и десен может оказать положительное влияние на общее состояние организма.

Что должны сделать врачи?

Если пломбировочный материал в гайморовой пазухе — требуется немедленное хирургическое вмешательство. Любое инородное тело требует удаления. Производится операция по поводу экстракции пломбировочного материала из гайморовой пазухи, санация ее полости.

Эндоскопия синуса

При подозрении на одонтогенный гайморит производится ряд диагностических исследований, в том числе и эндоскопия синуса, которая дает наглядную информацию о патологическом процессе в его полости.  В случае перфорации мембраны Шнайдера или подслизистой локализации воспалительного процесса врач увидит эти изменения.

После нужно выбрать тактику лечения. Врач определяет, можно ли эту проблему решить консервативным путем или, при неспособности классической терапии или преобладании рисков, нужно делать операцию.

Консервативное лечение Оперативное лечение
  1. Санация и пломбирование кариозных полостей.
  2. Пункция гайморовой пазухи (проводится с лечебно-диагностической целью с последующим введением, при необходимости, лекарственных веществ и растворов для промывания, либо для удаления инфицированного содержимого).
  3. Антибактериальная терапия на основе антибиотикограммы.
  4. Сосудосуживающие капли или анемизация среднего носового хода (создает возможность оттока и удаления содержимого синуса).
  5. Симптоматическое лечение (обезболивающее и т.д.).
  6. В периоде выздоровления применяется физиотерапевтическое воздействие.
  1. Удаление очага инфекции, резекция корня, удаление кисты или пораженных тканей.
  2. Провести гайморотомию (открытие доступа к полости гайморовой пазухи).
  3. Возможность удаления нежизнеспособных и зараженных участков.
  4. Закрытие патологического канала, сообщающего между собой ротовую и гайморову полости.
  5. Дренирование гайморовой полости с целью адекватного оттока отделяемого и его удаления.
  6. Назначение медикаментозной терапии.

Как видим, хирургический метод, при своей травматичности, позволяет убрать очаг инфекции из организма, тогда как при консервативном способе риск сохранения инфицированного очага остается. Дефект в эпителии замещается участком слизистой оболочки щеки или твердого неба, со временем его функция восстанавливается.

Все большее распространение сегодня приобретает эндоскопическая хирургия. В отношении одонтогенного верхнечелюстного синусита этот метод применяется с большим успехом.

Все большее распространение сегодня приобретает эндоскопическая хирургия. В отношении одонтогенного верхнечелюстного синусита этот метод применяется с большим успехом.

Для доступа используют один из трех вариантов:

  • средний носовой ход (считается наиболее физиологичным);
  • лунка удаленного зуба (приходится расширять канал, если он менее 4 мм);
  • через переднюю стенку пазухи (fossa canina, «собачья ямка»).

Этим способом операцию можно делать под местной анестезией, и он является оптимальным по нескольким причинам:

  • Проведение процедурыможно выполнить ревизию гайморовой полости без обширной травматизации тканей;
  • после электрокоагуляции риск развития кровотечения минимальный;
  • в гайморовой пазухе могут располагаться полипы, кисты, которые требуют удаления, их убирают, не расширяя оперативный доступ, под контролем зрения.

Важно помнить, что сохранить зуб – это более предпочтительно для пациента, но в корневой системе зуба риск персистенции (длительного нахождения инфекции без явных признаков) очень высокий. Это обуславливает необходимость в повышенном уходе за зубами после лечения.

Советы врача

Нельзя не упомянуть, что причиной одонтогенного гайморита может быть не только стрептококковая или стафилококковая бактериальная флора.

Сегодня проблема иммунодефицита различного происхождения среди населения стоит довольно остро.

И встретить грибковое поражение врач-стоматолог может нередко. Здесь препаратами выбора будут противогрибковые и средства с их длительной терапией.

При возникновении гайморита в любом случае следует обратиться к врачу за квалифицированной медицинской помощью, так как он опасен своими осложнениями, которые, при отсутствии соответствующего лечения могут закончиться летально.

Если соблюдать гигиену употребления углеводов быстрого усваивания и вести здоровый образ жизни, то можно сохранить здоровье зубов до старости. Здоровье человека – в его руках.

https://youtube.com/watch?v=Oil0lGqQGjA

Вопрос-ответ

Как понять, что гайморит из-за зубов?

Для одонтогенного гайморита характерным является одностороннее снижение прозрачности пазухи. Кроме того, удаётся выявить очаг инфекции в ротовой полости. Осмотр носовых пазух. О присутствии инфекции может свидетельствовать отёк слизистой, гнойные выделения.

Какие органы поражает гайморит?

Гайморит (верхнечелюстной этмоидальный синусит) — это воспалительное заболевание верхнечелюстной пазухи (пазух).

Какие зубы провоцируют гайморит?

Да, именно так: одонтогенный гайморит вызван проблемами с зубами верхней челюсти, корни которых расположены в непосредственной близости к гайморовым пазухам. А в некоторых случаях верхушки корней зубов проникают и в сами придаточные пазухи носа.

Как связаны носовые пазухи и зубы?

Гайморовы пазухи и корни жевательных зубов связаны между собой, так как находятся очень-очень близко друг к другу. Поэтому, если возникает заболевание одной из этих структур, оно может повлиять на другую. Например, зубные бактерии могут проникнуть в пазуху и активно там размножаться, вызывая воспаление.

Советы

СОВЕТ №1

Регулярно чистите зубы и используйте зубную нить. Поддержание гигиены полости рта помогает предотвратить инфекции, которые могут способствовать развитию гайморита.

СОВЕТ №2

Посещайте стоматолога не реже двух раз в год. Профессиональная чистка зубов и осмотр помогут выявить и устранить проблемы, которые могут негативно сказаться на здоровье носовых пазух.

СОВЕТ №3

Обратите внимание на состояние десен. Заболевания десен могут быть связаны с хроническими инфекциями, которые могут способствовать развитию гайморита. Убедитесь, что ваши десны здоровы.

СОВЕТ №4

Используйте антисептические ополаскиватели для рта. Это поможет уменьшить количество бактерий в полости рта и снизить риск инфекций, которые могут привести к гаймориту.

Ссылка на основную публикацию
Похожие публикации