При наступлении холодного времени года люди начинают болеть: появляется насморк, который может послужить началом одной из болезней, выявленных на снимке как затемнение гайморовых пазух.
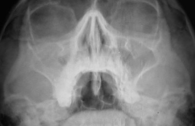
На рентгеновских снимках чаще всего можно увидеть субтотальное затемнение. Затемнение гайморовых пазух обычно появляется в двух нижних третях – обычно это воспаленная слизистая оболочка. Затемнение проявляется обычно при огромном скоплении жидкости или гноя в полости.
Рентгеновская проекция очень четко показывает решетчатые лабиринты, которые забиваются жидкостью наравне с пазухами. На рентгене лучше различается нижняя доля гайморовых пазух.
Носоподбородочная проекция лучше показывает нижние части обеих пазух, чем подбородочная проекция. Решетчатый лабиринт чрезвычайно плохо обозревается при любой проекции.
О чем говорит?
Затемнение гайморовых пазух выявляется с помощью рентгена и определяется даже врачом-рентгенологом. При появлении тени на снимке врач может предположить гайморит, синусит и прочие подобные заболевания. Рентгенографию назначают для выявления отека, присутствия гнойных масс или воспаления оболочки.
Рентгенограмма показывает наличие посторонних образований в пазухах, и от этого следует наличие какого-либо заболевания.

Субтотальное затемнение гайморовых пазух на рентгеновских снимках может указывать на различные заболевания, требующие внимательного анализа. Врачи отмечают, что такое изменение часто связано с синуситом, особенно если оно сопровождается клиническими симптомами, такими как боль в области лица и затрудненное дыхание. Однако, по мнению специалистов, важно учитывать и другие возможные причины, включая аллергические реакции, полипозные изменения или даже опухолевые процессы. Врачам рекомендуется проводить дополнительные исследования, такие как КТ или МРТ, для более точной диагностики. Правильная интерпретация субтотального затемнения позволяет своевременно выявить и лечить заболевания, что существенно повышает шансы на успешное восстановление пациента.
Субтотальное затемнение гайморовых пазух на рентгеновских снимках вызывает множество вопросов у врачей и пациентов. Это явление может свидетельствовать о различных заболеваниях, таких как синусит, полипоз или даже опухолевые процессы. Важно понимать, что степень затемнения и его локализация могут помочь в диагностике. Например, одностороннее затемнение чаще ассоциируется с инфекционными процессами, тогда как двустороннее может указывать на аллергические реакции или хронические воспаления. Врач, анализируя снимок, учитывает клинические проявления и анамнез пациента, чтобы установить точный диагноз. Правильная интерпретация субтотального затемнения позволяет своевременно начать лечение и избежать осложнений. Поэтому важно не игнорировать такие находки и обращаться к специалистам для дальнейшего обследования.

Какие могут быть при этом диагностированы болезни?
Гайморит. Он может появиться в обеих полостях, но может и в одной. В полостях гайморовых пазух появляется гной или жидкость, которая скапливается и затрудняет дыхание. По этой причине начинаются головные боли, и пропадет обоняние, а также может упасть зрение.
Перед появлением гайморита воспаляется решетчатая кость. Если не заметить затемнение гайморовых пазух вовремя, то воспаление перейдет на другие полости.
Симптомы гайморита следующие:
полностью заложенный нос, затрудненное дыхание;
- постоянное выделение жидкости или слизи;
- сильная головная боль;
- отечность глаз;
- исчезновение обоняния;
- повышенная температура;
- сонливость и слабость;
- затемнение пазух, которое можно увидеть на снимке.
Обычно, чтобы избавиться от затемнения и гайморита в итоге делают прокол специальной иглой, чтобы узнать, чем заполнены пазухи. Лечение обычно занимает много времени и чаще всего при терапии используют антибиотики.
При самой худшей хронической форме приходится делать операцию с выкачиванием гнойных масс. Если на снимке вы видите затемнение пазух, то не беритесь лечить его самостоятельно.
Синусит. Синусит – это хроническое воспаление оболочки придаточных пазух. Инфекционные бактерии могут попасть в этом случае из носовой или ротовой полости.
Причины развития синусита очень разнообразные: начинается появлением острого насморка, гриппа, кори, скарлатины, и даже коренные зубы могут послужить источником инфекции.
Главные симптомы синусита следующие:
повышенная температура;
- насморк с гнойными массами;
- головные боли;
- неприязнь к яркому свету;
- сильное слезовыделение.
Болевые ощущения приходятся в район лобной и височной долей, и появляются они с одинаковой периодичностью ежедневно.
Могут появиться отеки, опухлости вокруг глаз и на щеках. Точный ответ по поводу синусита может дать рентген черепной коробки.
Фронтит. Фронтит – это серьезное воспаление оболочки лобной пазухи. При данном заболевании выделения определяются как желто-зеленые, а затем светлеют и разжижаются.
Причины фронтита следующие:
осложняется насморк;
- травмы лобной кости;
- воспаляется слизистая носа (ринит).
Воспаление может протекать по-разному: остро или хронически. Симптомы у этих двух форм также разные. Острый фронтит протекает тяжело, так как слизистая набухает, и дышать очень трудно.
Если вовремя не начать лечение, то острый фронтит вполне может перетечь в хронический из-за размножения бактерий.
Признаки острого фронтита:
- сильные головные боли и боли в лобной доле, которые усиливаются при надавливании;
- высокая температура;
- затрудненное дыхание;
Признаки хронического фронтита:
боль в голове, по характеру давящая или ноющая;
- боли лобной доле;
- увеличение боли при употреблении спиртных напитков, никотина и при переутомлении;
- обильные выделения в утреннее время и имеют крайне противный запах;
- из-за стечения выделений в носоглотку в утренние часы происходит отхаркивание мокроты.
Самолечение фронтита недопустимо, так как может привести к еще большим осложнениям и худшим последствиям. После рентгена и проверки пазух на затемнение, всех лабораторных исследований отоларинголог назначает нужное лечение.
Иногда ЛОР — врач должен прибегнуть к процедуре прокола – прокалывают одну из полостей и промывают все внутри, выкачивая гнойные выделения. Однако даже это не может иногда помочь полностью, так как воспаление может распространиться и на соседние полости.
Пациентка Олеся, 21 год. Девушка пришла в больницу с жалобами на кашель, насморк и затрудненное дыхание, головные боли. Нос был заложен около трех недель. Рентгенография показала субтотальное затемнение гайморовых пазух.
Исходя из результатов обследования, был поставлен диагноз: гайморит (воспаление оболочек гайморовых пазух). Было назначено следующее лечение: Санорин или Тизин, Долфин или Маример, Диоксидин 1% или Хлоргексидин 0,05%.
Чаще всего врачи назначают прокол, который обычно и спасает от хронического гайморита. Но врачи новой школы предпочитают лечить гайморит лекарственными препаратами, без хирургического вмешательства. При данном заболевании обязательно следует найти квалифицированного врача и согласовывать с ним все действия.
Субтотальное затемнение пазух может дать не очень приятный диагноз, но любое заболевание можно вылечить или хотя бы уменьшить все неприятные эффекты до минимума. При этих инфекциях можно прибегнуть как к хирургическому вмешательству, так и к терапии, но самое главное – узнать о заболеваниях можно с помощью рентгенографии. Остается только пожелать удачи и здоровья всем пациентам.

Вопрос-ответ
Что означает пристеночное затемнение верхнечелюстных пазух?
Снимок должен расшифровывать специалист. Поэтому следующая информация – для общего ознакомления. Пристеночное затемнение – длительное воспаление, утолщение стенок слизистой, скопившаяся жидкость, новообразования, трещины, переломы. У меня болит голова, и эта боль (как у вас и написано) отдает в область носа.
Как по снимку понять, что синусит?
Описание снимка при хроническом синусите. Изменения необратимы, поэтому рентгенологи смогут описать проявления, как «пристеночные наложения» или «подушкообразные выпячивания» верхнечелюстной (лобной) пазухи.
Советы
СОВЕТ №1
Обратитесь к врачу при первых признаках заболевания. Если вы заметили симптомы, такие как боль в области лица, затрудненное дыхание или выделения из носа, не откладывайте визит к отоларингологу. Ранняя диагностика поможет избежать осложнений.
СОВЕТ №2
Регулярно проходите профилактические осмотры. Даже если у вас нет явных симптомов, регулярные проверки у специалиста помогут выявить возможные проблемы на ранней стадии и предотвратить развитие серьезных заболеваний.
СОВЕТ №3
Следите за состоянием своего иммунитета. Укрепление иммунной системы с помощью правильного питания, физической активности и достаточного количества сна может помочь предотвратить воспалительные процессы в гайморовых пазухах.
СОВЕТ №4
Изучите информацию о возможных заболеваниях, связанных с субтотальным затемнением. Понимание таких состояний, как синусит или аллергический ринит, поможет вам лучше ориентироваться в своем здоровье и принимать обоснованные решения о лечении.

полностью заложенный нос, затрудненное дыхание;
повышенная температура;
осложняется насморк;
боль в голове, по характеру давящая или ноющая;