Как определить и вылечить фронтит?

Фронтит – это заболевание, при котором возникает воспаление лобной пазухи. Эта болезнь протекает намного сложнее, чем воспаление других околоносовых пазух. Чаще всего доктора обнаруживают острый фронтит, но при искривлённой носовой перегородке или гипертрофии средней носовой раковины острая форма часто переходит в хроническую.

Виды и коды МКБ 10 у фронтита

  • В международной классификации болезней (мкб 10) фронтит относят к фронтальному синуситу. Это заболевание находится в классе J00-J99 мкб 10;
  • Острому фронтальному синуситу присвоена категория J01.1;
  • Хроническому – J32.1.

Международная классификация болезней необходима в первую очередь для того, чтобы систематизировано в разных странах мира, фиксировать, анализировать и сравнивать данные заболеваемости.

Виды фронтита

По течению болезни выделяют острый и хронический фронтит.

При остром фронтите.

Патогенные микроорганизмы размножаются в носовой полости и лобных пазухах. Появляется отёчность слизистой оболочки, наблюдаются первые симптомы этой болезни.

Хронический фронтит.

Развивается при неадекватном лечении острой формы или скрытом протекании болезни.

По локализации фронтит бывает:

  • Двухсторонний (одновременное поражаются две пазухи);
  • Односторонний левосторонний или правосторонний (поражается только одна пазуха).

По этиологии фронтит подразделяют на:

  • Вирусный (причина возникновения болезни – различные вирусные инфекции);
  • Бактериальный (если есть патогенные бактерии);
  • Грибковый;
  • Аллергический – возникает у людей часто подверженных аллергическим реакциям;
  • Смешанный.

По характеру экссудата выделяют катаральный, гнойный и серозный фронтит. Гнойная форма заболевания самая опасная, поскольку при неправильном лечении появляются серьёзные осложнения.

Врачи подчеркивают, что фронтит, воспаление лобной пазухи, может проявляться различными симптомами, такими как головная боль, заложенность носа и выделения из носа. Для точной диагностики специалисты рекомендуют обратиться к отоларингологу, который проведет осмотр и, при необходимости, назначит рентген или КТ. Лечение фронтита зависит от его причины: в случае вирусной инфекции обычно достаточно симптоматической терапии, тогда как бактериальная форма может требовать антибиотиков. Важно также использовать промывания носа и ингаляции для облегчения состояния. Врачам известно, что игнорирование симптомов может привести к осложнениям, поэтому своевременное обращение за медицинской помощью является ключевым моментом в успешном лечении.

Хронический Фронтит. Признаки заболевания и лечение.Хронический Фронтит. Признаки заболевания и лечение.

Причины появления фронтита

Характерные причины, почему возникает фронтит?

Основная причина развития фронтита – поражение вирусами, грибками и бактериями лобных пазух. Случается это при простуде, переохлаждении или аллергии.

Иммунитет начинает бороться с инородными организмами. Возникает отёк слизистой оболочки, увеличивается образование жидкого отделяемого из носа. Параллельно прекращается вентиляция лобных пазух, создаются условия для размножения патогенных микроорганизмов, при этом могут появляться гнойные выделения.

Среди побочных причин фронтита выделяют:

  • Искривление носовой перегородки;
  • Травма в проекции лобной кости;
  • Ослабленная иммунная система;
  • Хронические инфекции соседних органов;
  • Вазомоторный ринит.

Симптомы фронтита

Симптомы фронтита у взрослых людей характеризуются резким подъёмом температуры тела и заложенностью носа. Во время насморка выделяется зелёная или жёлтая слизь, появляется боль в области лобных пазух (над бровями). Во сне и при наклоне головы боль усиливается, распространяется в височно-теменную область и отдаёт в уши.

Хронический фронтит характеризуется волнообразным течением (есть периоды обострения и ремиссии).

  • При обострении появляются симптомы острого фронтита;
  • Во время ремиссии клинические признаки фронтита слабо выражены, иногда появляется ощущение тяжести над бровями, постоянная боль, которая может распространяться в височно-теменную область. В течение суток интенсивность боли меняется (все зависит от положения головы). Преимущественно утром из носа выделяется густая слизь жёлтого или зелёного цвета, снижается обоняние и возникает гнусавость.

Фронтит — это воспаление лобной пазухи, и многие люди сталкиваются с этой проблемой, но не всегда знают, как ее распознать и лечить. По словам пациентов, первые симптомы часто напоминают обычную простуду: заложенность носа, головная боль и выделения из носа. Однако, если эти симптомы сохраняются более недели, стоит обратиться к врачу. Многие отмечают, что самолечение, включая использование народных средств, не всегда приносит облегчение. Врач может назначить необходимые анализы и, при подтверждении диагноза, рекомендовать антибиотики или другие препараты. Также важно соблюдать режим отдыха и питьевой режим. Некоторые пациенты делятся положительным опытом использования ингаляций и промываний носа, что помогает облегчить состояние. Важно помнить, что своевременное обращение к специалисту может предотвратить осложнения и ускорить выздоровление.

Фронтит лечение | Острый и хронический фронтит: симптомы и лечениеФронтит лечение | Острый и хронический фронтит: симптомы и лечение

Диагностика

Диагностические процедуры

Для диагностики требуется собрать подробный анамнез о протекающем заболевании. Начинается все с устного опроса больного, на этом этапе хороший врач узнает львиную долю информации.

Затем проводится общий осмотр: определяется припухлость в области глаз и носа, при постукивании в проекцию стенок лобных пазух проверяются болевые ощущения. Затем приступают к инструментальным методам диагностики:

Эндоскопический осмотр.

Эндоскопом оценивается состояние полостей носа, обнаруживаются причины, которые препятствуют хорошей циркуляции воздуха.

Риноскопия.

Инструментальный осмотр носа, с помощью которого выявляют воспалительный процесс (покраснение, отёчность слизистой оболочки, наличие гнойных выделений).

Бактериологический анализ.

Самый распространённый метод диагностики фронтита. Берут мазок и высевают его на питательную среду. Затем через некоторое время выявляют тип возбудителя и чувствительность его к антибиотикам.

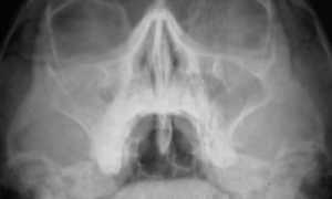
Рентген.

На снимке можно увидеть уровень жидкости в лобной пазухе. С помощью рентген снимка проводят дифференциальную диагностику негнойного фронтита от гнойного.

УЗИ.

Используют при отсутствии рентгена (исследование проводят в редких случаях).

Компьютерная томография.

Проводятся послойные срезы, с помощью которых рассматриваются анатомические особенности и чётко определяется распространённость воспалительного процесса. КТ делают чаще всего в период ремиссии.

Сцинтиграфия.

Радиоизотопный метод, который позволяет определить наличие внутричерепных осложнений.

Лечение

Как лечить фронтит различными методами?

Как вылечить фронтит при помощи фармакологии

Пенициллины – β-лактамные антибиотики.

Главный компонент этих препаратов — 6-аминопенициллановая кислота, которая состоит из тиазолидинового кольца и β-лактама. Пенициллины бывают защищённые (с клавулановой кислотой) и незащищенные. При лечении фронтита используются следующие пенициллиновые антибиотики:

  • Аугментин;
  • Флемоксин солютаб;
  • Амоксициллин;
  • Амоксиклав;
  • Амписид.
Цефалоспорины.

Также относятся к группе β-лактамных антибиотиков, отличаются от пенициллинов не только структурой (в основе структуры 7-аминоцефалоспорановая кислота), но и тем, что защищены от ферментов, которые выделяют микробы. Фронтит лечат цефалоспоринами 3 или 4 поколения:

  • Цефотаксим;
  • Цефаклор;
  • Цефтриаксон;
  • Аксетил.
Макролиды.

Применяются при непереносимости или малой эффективности лечения пенициллинами и цефалоспоринами. Назначаются следующие препараты:

  • Сумамед;
  • Азитромицин;
  • Спирамицин;
  • Макропен.
К местным средствам лечения фронтита относят:
  • Аэрозоли, такие как Биопарокс;
  • Пропитанные лекарством тампоны. Для пропитки используют различные антисептические мази в т. ч. мазь Вишневского или Диоксидиновая мазь;
  • Спреи: Изофра, Полидекса с фенилэфрином;
  • Капли.

Назальные капли и мази

В составе аэрозоля Биопарокс присутствует фузафунгин. Этот препарат оказывает противовоспалительное и антибактериальное действие.

Тампоны с левомеколем обладают антибактериальным эффектом и благодаря гидрофильности способствуют оттоку гноя из лобных пазух.

Капли и спреи в нос делятся на:

Сосудосуживающие:

Антисептические:

Физиотерапия

УВЧ терапия.

Лечение электромагнитным полем с длиной волн 1–10 нм. Пластины накладываются на область лобных пазух. УВЧ поле воздействует теплом, уменьшает отёчность, активирует процессы регенерации.

При фронтите ставится мощность 10–20 Вт. Длительность сеанса 10 мин., всего рекомендовано проводить 10 таких процедур.

Лазеротерапия.

Полость носа облучают пучком света особого спектра с помощью цилиндрических световодов. Под влиянием фотонов света повышается обмен веществ и усиливается процесс регенерации. Ещё фронтит лечат электрофорезом и диадинамическим током.

«Кукушка».

Метод промывания носа, который используется при лёгких формах левостороннего или правостороннего фронтита. Лекарство заливают в одну половину носа, а отсасывается из другой. Во время процедуры больной лежит на спине и говорит «ку-ку, ку-ку». Это делается для того, чтобы раствор не попадал в носоглотку.

Хирургическое лечение

Хирургическое вмешательство

Трепанопункция – обеспечивает хороший отток гнойного содержимого из лобной пазухи через небольшое отверстие, которое делается в лобной кости.

Прокол выполняется только при тяжёлой форме заболевания. После пункции пазуху промывают антисептиком и обрабатывают антибактериальным составом. Это позволяет быстро вылечить фронтит и избежать возможных осложнений гнойного воспаления. Помимо лечения, трепанопункция имеет диагностическое значение (можно оценить характер и количество содержимого пазухи).

Эндоскопическую операцию проводят с помощью эндоскопа через полость носа. Хирург вскрывает лобную пазуху и убирает гной. Этот метод используется только при постоянных рецидивах хронического фронтита.

Симптоматическое лечение

Цель симптоматической терапии – устранение симптомов заболевания. Лечение симптомов острого фронтита проводится сосудосуживающими средствами:

Они устраняют заложенность носа.

Жаропонижающие средства используются при повышенной температуре, многие препараты имеют обезболивающий и противовоспалительный эффект. Снижают температуру лекарства с парацетамолом ( Эффералган и Панадол), ибупрофеном ( Нурофен).

Противовоспалительные средства снимают отёчность слизистой оболочки носа. Существуют местные противовоспалительные лекарственные вещества с глюкокортикоидами ( Назонекс или Фликсоназе).

Осложнения

Если взрослым или детям не лечить фронтит, развивается хронический воспалительный процесс слизистой оболочки носа. Может появиться быстрая утомляемость и тяжесть в голове, развивается атрофия слизистой оболочки носа. Особо опасный гнойный фронтит, при нем могут развиться такие осложнения, как:

  • Отит – воспаление органов слуха;
  • Менингит – воспаление оболочки головного мозга;
  • Конъюнктивит – глазная бактериальная инфекция.

Эти и многие другие заболевания чреваты существенным ухудшением качества жизни. Поэтому самым безопасным выходом при заболевании фронтитом будет своевременное и полное лечение, под присмотром врача – оториноларинголога.

https://youtube.com/watch?v=P_HyGmkWYus

Вопрос-ответ

Как понять фронтит или нет?

Давящая или ноющая боль в области лба (усиливается при постукивании), отделение из носа гнойной мокроты в утреннее время, резкая боль во внутреннем углу глаза при надавливании, чувство распирания в области между бровями, повышенная температура.

Что помогает от фронтита?

Основные методы лечения фронтита В зависимости от тяжести и формы заболевания, врач может назначить антибиотики для борьбы с инфекцией, противовоспалительные препараты для уменьшения отека слизистой оболочки, а также назальные кортикостероиды для снятия воспаления и отека.

Сколько дней проходит фронтит?

Острый фронтит. Заболевание развивается за несколько дней и при правильно подобранном лечении бесследно проходит в течение 1 месяца, не оставляя после себя никаких признаков.

Можно ли вылечить фронтит без антибиотиков?

Лечение хронического фронтита заключается в назначении сосудосуживающих капель для облегчения оттока гнойного содержимого из пазух, а также в использовании физиотерапевтических методик: УВЧ, электрофореза, галатерапии и других. Кроме этого, показана общеукрепляющая и иммуномодулирующая терапия.

Советы

СОВЕТ №1

Обратите внимание на симптомы. Фронтит может проявляться в виде головной боли в области лба, заложенности носа, выделений из носа и общей усталости. Если вы заметили эти признаки, не откладывайте визит к врачу для диагностики и назначения лечения.

СОВЕТ №2

Регулярно промывайте носовые проходы. Используйте солевые растворы или специальные спреи для носа, чтобы уменьшить воспаление и улучшить дренаж. Это поможет облегчить симптомы и ускорить процесс выздоровления.

СОВЕТ №3

Следите за влажностью воздуха в помещении. Сухой воздух может усугубить симптомы фронтита. Используйте увлажнители или просто ставьте емкости с водой рядом с обогревателями, чтобы поддерживать оптимальный уровень влажности.

СОВЕТ №4

Не забывайте о профилактике. Укрепляйте иммунитет с помощью правильного питания, регулярных физических нагрузок и достаточного сна. Избегайте переохлаждений и контактов с больными, чтобы снизить риск возникновения фронтита.

Ссылка на основную публикацию
Похожие публикации