Миндалины — это часть иммунной системы организма человека. Они очень важны для полноценной защиты организма от воздействия внешних факторов. Ведь именно эти органы первыми контактируют и начинают борьбу с болезнетворными микроорганизмами, которые попадают в организм человека из внешней среды.
Эти функции обеспечивает особое расположение и строение миндалин. Эти органы очень важны для защиты организма, но большинство даже не знает, для чего они нужны.
Их виды, находящиеся в организме человека
Миндалины – это образования из лимфоидной ткани в форме овала (благодаря которой они и получили свое название). Они находятся на поверхности слизистых оболочек в области, где заканчивается ротовая полость и открывается вход в глотку.
Понятие «миндалины» у большинства людей ассоциируется в первую очередь с гландами — так называют небные миндалины.
Но это не единственный вид миндалин в организме человека. Подобные скопления лимфоидной ткани классифицируют по расположению и делят на следующие виды:
-
Небные. Парные образования, которые еще называют гландами.
Располагаются между мягкой частью неба корнем языка слева и справа от отверстия глотки в углублениях — бухтах.
- Трубные. Также парные. Их место расположения — область глоточного отверстия.
- Миндалина Лушки. Непарная, еще называется глоточной или носоглоточной. Находится над сводом глотки.
- Язычная. Непарная. Расположена сзади языка под ним.
Для чего нужны эти органы? Из шести миндалин, которые необходимы для защиты дыхательных путей от возбудителей инфекций, складывается своеобразное кольцо, окружающее глотку.
Гланды, или миндалины, располагаются в задней части горла и играют важную роль в иммунной системе человека. Врачи отмечают, что они служат первой линией защиты от инфекций, помогая организму распознавать и бороться с патогенами, такими как вирусы и бактерии. Миндалины содержат лимфоидную ткань, которая производит антитела и активирует иммунные клетки. Однако, несмотря на их защитную функцию, гланды могут стать источником проблем, особенно при частых воспалениях. В таких случаях врачи рекомендуют рассмотреть возможность их удаления, если это необходимо для улучшения качества жизни пациента. В целом, гланды играют значимую роль в поддержании здоровья, но их состояние требует внимательного контроля.

Небные
Зачем нужны гланды (небные миндалины)? Для предотвращения воспалительных процессов органов дыхания. Они первыми сталкиваются с потенциальной угрозой, которую представляют для организма микробы. Часто это вызывает развитие ангины (или острого тонзиллита), при которой воспалены небные миндалин.
Особенность гланд по сравнению с другими миндалинами в том, что на их поверхности находятся лакуны — особые углубления.
Лакуны нужны для удержания микроорганизмов (вирусов и бактерий).
В защитной системе организма человека это своеобразные ловушки для болезнетворных микроорганизмов.
Гланды покрыты примерно 30-40 такими лакунами. При хронических воспалительных процессах, которые поражают гланды, возбудители чаще всего скрываются именно в этих лакунах. Структура лимфоидной ткани подразумевает наличие не только лакун, но и фолликулов.
Если организм здоров, то они выполняют функции выработки лейкоцитов, плазмоцитов и макрофагов, которые борются с возбудителями различных заболеваний, то есть необходимы для борьбы организма с болезнями.
Все эти клетки входят в состав гноя при гнойных поражениях гланд. Расположены небные по бокам перед глоткой в конце ротовой полости. Их расположение можно увидеть на фото.
Их назначение в организме
Гланды и остальные миндалины выполняют различные функции в организме человека:
Барьерная. Возбудители различных заболеваний, которые попадают в организм человека или уже находятся в нем, прежде всего, контактируют с этими скоплениями лимфоидной ткани.
Гланды нужны, чтобы уничтожать их. Уничтожение бактерий выполняется клетками, которые вырабатывает лимфоидная ткань, образующая гланды.
- Иммуногенная. Гланды нужны для выработки Т-лимфоцитов и В-лимфоцитов в организме человека. Именно этим органом выполняется данная функция. Вырабатываемые органом клетки отвечают за иммунитет всего организма.
Выполнение гландами их функций возможно только в том случае, если они здоровы. Если в их ткани протекает воспалительный процесс, то страдает весь организм. Его защитные способности существенно снижаются, возможно развитие осложнений, которые могут поразить практически любые органы и системы.
Гланды, или миндалины, представляют собой важные органы иммунной системы, расположенные в задней части горла, по обе стороны от языка. Их основная функция заключается в защите организма от инфекций, особенно в детском возрасте, когда иммунная система только формируется. Люди часто говорят о гландах в контексте заболеваний, таких как ангина или тонзиллит, когда они воспаляются и вызывают дискомфорт. Многие отмечают, что удаление гланд может привести к снижению частоты инфекций, однако это решение не всегда однозначно. Некоторые специалисты подчеркивают, что гланды играют роль в распознавании патогенов и формировании иммунного ответа. Таким образом, несмотря на распространенные мифы о бесполезности гланд, их значение в организме остается значительным.
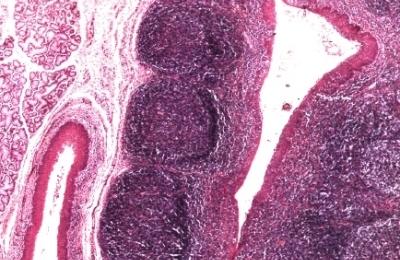
Структура и строение
Все миндалины обладают пористой структурой. Если гланды имеют поверхность, полностью покрытую лакунами, то и остальные миндалины имеют свои особенности:
-
Глоточная представляет собой складки слизистой оболочки, которые располагаются поперечно.
Несколько таких складок и образуют ее. Реснитчатый эпителий образует поверхность этой миндалины.
-
Язычная обладают бугристой поверхностью, которая образована плоским эпителием.
Миндалина разделена на две одинаковые части бороздкой, которая проходит по ее центру, и перегородкой. В углублении рядом с ней находятся выходы слюнных протоков.
- Трубные — самые маленькие. Их основные функции — защита слухового аппарата человека от проникновения возбудителей инфекционных заболеваний. Состоят они из диффузной лимфоидной ткани, которая включает лимфоидные узелки.
Различают внутреннюю и наружную (доступную для осмотра) поверхность миндалин. Внешняя поверхность может быть бугристой или ровной, но она всегда выпуклая. У некоторых людей по ним проходит бороздка, из-за которой кажется, будто гланды состоят из двух неравных долей.
Внешняя сторона органов покрыта капсулой — плотной оболочкой из соединительной ткани. Часть органа расположена в глубине тканей. Такую возможность обеспечивает то, что гланды располагаются в тонзиллярных бухтах — специальных углублениях.
Это не в некоторых случаях затрудняет возможность оценить, какой размер имеют небные миндалины.
Вся толща ткани органов пронизана стромой — волокнами соединительной ткани, которые пучками отходят от капсулы.
Лимфоидные клетки образуют паренхиму гланд, то есть это основные составляющие в строении органа. Клетки заполняют собой сетку фолликулов. Фолликулы могут быть первичными (образованные в период внутриутробного развития) и вторичные (образованные уже после рождения).
Лакуны делают уникальными небные миндалины. Эти углубления переходят в каналы, которые проходят в толще тканей органа. Иногда по глубине проникновения в ткани гланд они могут достигать соединительной ткани капсулы или даже продолжаться вдоль капсулы.
При этом начинаются каналы в зевной поверхности. Кровоснабжение гланд обеспечивается тонзиллярными артериями, которые соединены непосредственно с сонной артерией. Это обуславливает богатое кровоснабжение гланд.
Доступно изображено и описано строение гланд на рисунке.
Теперь известно, зачем человеку гланды. Так как они выполняют важнейшие функции в организме человека, сохранение их здоровья — необходимое условие поддержания нормального состояния всего организма.
При возникновении любых подозрений на воспалительный процесс в скоплении лимфоидной ткани необходимо обратиться к врачу для диагностики и лечения.
Вопрос-ответ
Какая польза от удаления миндалин?
Плюсы тонзиллэктомии: операция устраняет источник инфекции, что предотвращает развитие вторичных ЛОР-заболеваний (фарингитов, гайморитов, бронхитов), снижает нагрузку на сердечно-сосудистую систему. Устранение патогена уменьшает риск возникновения ревматизма, миокардита, пиелонефрита, заболеваний щитовидной железы.
В чем смысл миндалин?
Миндалина – миндалевидная структура в головном мозге, играющая ключевую роль в регуляции эмоциональных процессов. Расположенная в лимбической системе мозга, миндалина выполняет важную функцию в контроле эмоциональных реакций, таких как страх, гнев и обучение.
Советы
СОВЕТ №1
Изучите анатомию: Понимание расположения и функции гланд поможет вам лучше осознавать их роль в организме. Ознакомьтесь с изображениями и схемами, чтобы визуализировать, где находятся миндалины и как они связаны с другими органами.
СОВЕТ №2
Следите за здоровьем: Обратите внимание на любые симптомы, связанные с воспалением или инфекцией гланд, такие как боль в горле, затрудненное глотание или увеличение лимфатических узлов. При появлении таких признаков не откладывайте визит к врачу.
СОВЕТ №3
Укрепляйте иммунитет: Гланды играют важную роль в иммунной системе. Поддерживайте здоровье своего организма, правильно питаясь, занимаясь физической активностью и избегая стрессов, чтобы помочь гландам выполнять свои функции.
СОВЕТ №4
Обсуждайте с врачом: Если у вас есть вопросы о здоровье гланд или о том, как они могут влиять на ваше общее состояние, не стесняйтесь обсуждать это с врачом. Профессиональная консультация поможет развеять сомнения и даст рекомендации по уходу за вашим здоровьем.






