Острый гайморит представляет собой заболевание, проявляющееся воспалительным процессом в острой форме, который развивается в гайморовых или верхнечелюстных пазухах.
Особенностью его является длительное отсутствие симптомов, что объясняется анатомическим строением пазух. А именно, недостаточным количеством бокаловидных клеток в слизистой оболочке, выстилающей внутреннюю поверхность гайморовых пазух.
Каким бывает?
Острый гайморит может быть как односторонним, так и двухсторонним.
При этом чаще всего процесс развивается с одной стороны, а затем переходит на здоровую половину. Связано это с тем, что все носовые полости человека сообщаются. Кроме того, к распространению заболеванию может привести неправильное проведение процедуры промывания носа, при которой под напором воды в здоровые полости попадают возбудители и начинают там размножаться.
Существует еще одна классификация данного заболевания:
- Катаральный. В этом случае воспаление затрагивает лишь поверхностные слои слизистой оболочки, а нижележащие ткани в процесс не вовлекаются. Развивается заболевание чаще всего на фоне вирусной инфекции, при этом симптомы не ярко выражены. Так, выделения из носа не гнойные, а серозные или слизистые;
Серозный. Эта форма весьма схожа с предыдущей, то есть с катаральным гайморитом. Носовые выделения также серозные, однако, они более обильные. К тому же вторичная инфекция в этом случае присоединяется гораздо чаще, что влечет за собой ухудшение самочувствия и усугубление симптомов – развитие гнойного процесса;
- Гнойный. Всегда бактериальный. Он может быть как первичным, так и вторичным, о чем было сказано выше. При этой форме главным симптомом являются выделения из носа гнойного характера.
Существует еще полипозный гайморит. К острым заболеваниям его можно отнести лишь условно. Наличие полипов способствует развитию хронического процесса, сопровождающегося обострениями. Именно в это время у человека наблюдается клиника воспаления в носовых пазухах.
Врачи отмечают, что острый гайморит проявляется рядом характерных симптомов, таких как сильная головная боль, заложенность носа, выделения из носа, а также повышение температуры тела. Эти признаки могут значительно ухудшать качество жизни пациента и требуют своевременного вмешательства. Врачами рекомендовано начинать лечение с консервативных методов, включая промывание носовых пазух, ингаляции и применение сосудосуживающих препаратов. В случае бактериальной инфекции может потребоваться назначение антибиотиков. Важно также учитывать, что при отсутствии должного лечения острый гайморит может перейти в хроническую форму, что значительно усложняет терапию. Специалисты подчеркивают необходимость обращения к врачу при первых симптомах заболевания для предотвращения осложнений.
Каковы причины и проявления заболевания?
Такой гайморит практически всегда развивается в результате попадания в гайморовы пазухи инфекционных агентов – вирусов или бактерий. При этом инфекция может проникнуть через кровоток или же из носовой полости.
Заболевание может быть первичным или вторичным. В последнем случае, как правило, происходит присоединение вторичной бактериальной инфекции, которой осложняется ОРЗ.
Основные причины развития воспаления гайморовых пазух:
- насморк, который плохо лечили;
- травма слизистой оболочки;
- наличие кариозных зубов и другой инфекции ротовой полости;
- ослабленный иммунитет;
- переохлаждение.
Симптомы острого гайморита могут проявляться не сразу. Все они делятся на общие и местные. Местным симптомом является нарушение носового дыхания, которое может быть односторонним или двухсторонним.
Нарушение дыхания сопровождается выделениями из носовых ходов. Характер выделений может быть серозным, слизистым или гнойным, то есть они могут быть прозрачными, желтого или зеленого цвета.
Важно, что острый гнойный гайморит всегда сопровождается гнойными выделениями из носа. Частым и ключевым симптомом является головная боль, интенсивность которой может варьировать от незначительной до выраженной. Отличительным признаком гайморита является усиление болевых ощущений во время наклона головы вниз.
Этот симптом может проверить каждый, наклонив голову вниз. Если происходит усиление болевых ощущений, то человек должен незамедлительно обратиться к специалисту для прохождения обследования и начала лечения. Острый гайморит также проявляется болью при пальпации области гайморовых пазух.
Это местные симптомы. К общим симптомам относится повышение температуры до высоких цифр и слабость. Хотя общие симптомы не являются специфическими.
Они во многом позволяют заподозрить данное заболевание. А в последующем, после дополнительного обследования, установить верный диагноз.
https://youtube.com/watch?v=VJWLdAqFWk0
Методы диагностики
Диагностика любого заболевания начинается с опроса, сбора жалоб и информации о заболевании, прошлых болезнях. Для подтверждения диагноза необходима проверка анализа крови, в котором всегда есть признаки воспалительного заболевания. А именно, лейкоцитоз (повышение лейкоцитов) и нейтрофильный сдвиг влево.
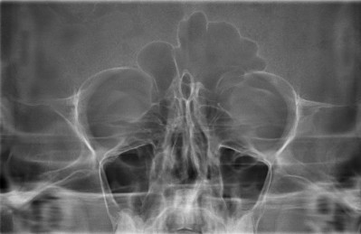
Кроме того выполняется рентгенологическое исследование – рентген придаточных носовых пазух.
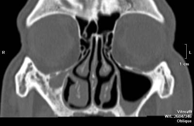
При этом в полостях практически всегда определяется уровень жидкости. Для подтверждения диагноза также можно выполнить компьютерную томографию. Однако это довольно дорогостоящий метод, который не всегда дает больше информации, чем рентген.
По этой причине компьютерную томографию не назначают всем пациентам. Этот метод используют лишь в тех случаях, когда рентгенологическое исследование является малоинформативным. Важной является диагностическая пункция носовых пазух, которая позволяет определить наличие гноя в полости.
Кроме того во время такой процедуры выпускается часть патологической жидкости, что способствует уменьшению давления на стенки и снижению болевых ощущений. Также доктор производит промывание полости специальным антисептическим раствором, что способствует более быстрому выздоровлению. То есть такая диагностическая пункция имеет и лечебное значение.
Острый гайморит — это воспаление гайморовых пазух, которое часто сопровождается сильной болью в области лица, заложенностью носа и выделениями из него. Люди, столкнувшиеся с этой проблемой, отмечают, что симптомы могут проявляться внезапно и сильно ухудшают качество жизни. Многие описывают головные боли, которые усиливаются при наклонах, а также общую слабость и усталость. В лечении острого гайморита часто применяются антибиотики, если заболевание вызвано бактериальной инфекцией. Также популярны противовоспалительные препараты и деконгестанты для облегчения дыхания. Некоторые пациенты обращаются к физиотерапии и народным методам, таким как ингаляции и промывания носа солевыми растворами. Однако важно помнить, что самолечение может быть опасным, и консультация с врачом необходима для правильной диагностики и выбора эффективной терапии.
Разновидности терапии
Острый гайморит является заболеванием, требующим безотлагательного начала лечения. Объясняется это просто – при несвоевременной терапии воспалительный процесс, как правило, усугубляется, и лечение его становится более длительным. Основными видами лечения являются консервативное и оперативное, которое подразумевает проведение пункции гайморовой пазухи.
При своевременном начале терапии и невыраженном процессе довольно часто консервативное лечение может оказать желаемый результат. Такое лечение включает в себя прием антибактериальных препаратов, действие которых направлено на уничтожение возбудителя.
В случае развития катарального гайморита на фоне вирусной инфекции возможен прием противовирусных препаратов. Хотя антибиотики в таких случаях также часто назначают. Делается это с целью профилактики, так называемой, вторичной инфекции. Безусловно, выбор лечения должен осуществляться специалистом после проведения необходимой диагностики.
Также для уменьшения воспаления назначают пероральные противовоспалительные препараты и спреи, применяемые для уменьшения местного отека и воспаления.
При наличии аллергического компонента, назначают антигистаминные средства.
Однако назначать их следует с осторожностью, так как они способны привести к сухости слизистых оболочек и сгущению выделений. Все это затрудняет отток отделяемого, что негативно сказывается на течении заболевания.
Если же начатое консервативное лечение не эффективно и симптомы не проходят, то проводят пункцию гайморовой пазухи. Проводится эта процедура при наличии одного из описанных ниже показаний:
- недостаточный эффект от лечения антибиотиками или отсутствие такового;
- тяжелое течение болезни, сопровождающееся выраженной болью в области пазух;
- определение уровня гноя или крови при проведении диагностики – по данным компьютерно-томографического или рентгенологического исследования;
- отсутствие проходимости естественного соустья.
Существуют и противопоказания к проведению данной манипуляции:
аплазия или гипоплазия гайморовой пазухи;
- аномалии развития;
- наличие соматического хронического заболевания с тяжелым течением. Например, гипертоническая болезнь, декомпенсированный сахарный диабет и так далее.
После взвешивания показаний и противопоказаний доктор назначает пункцию, проведение которой длительной подготовки не требует. Подготовка подразумевает лишь обработку полости носа антисептическими растворами. А также анестезию, которая проводится 10 %-ным раствором лидокаина.
После достижения местного обезболивания на расстоянии 2 см от переднего края нижней носовой раковины вводится специальная игла. Место это выбирается не случайно, именно здесь толщина стенки наименьшая. При помощи шприца врач удаляет гной, а затем промывает полость раствором антисептика. В некоторых случаях требуется повторное проведение пункции.
Многие пациенты, у которых наблюдается острый гайморит, стараются вылечить его в домашних условиях. При этом под лечением в домашних условиях зачастую подразумевается использование народных средств, которые, к слову, могут быть эффективны.
Правда, специалисты настоятельно рекомендуют использовать народную медицину лишь как дополнение к основному лечению, назначенному врачом.
Эффективным средством, широко используемым в домашних условиях, является промывание носовых полостей солевым раствором. Раствор не должен быть чрезмерно соленым, иначе вместо положительного результата можно получить ожог слизистой. Для промывания носа в домашних условиях к половине литра воды нужно добавить чайную ложку соли.
После этого следует налить жидкость в специальный кувшинчик, наклонить голову набок над раковиной и вливать соленый раствор в ноздрю. Если процедура выполняется правильно, то из второй ноздри жидкость будет выливаться самостоятельно.
Еще одним довольно эффективным средством лечения в домашних условиях является ингаляция с использованием прополиса. Необходимо довести до кипения два литра воды, влить две чайные ложки прополиса на спирту, а затем дышать паром над кастрюлей на протяжении пятнадцати минут. Этот метод противопоказан лицам, имеющим аллергию на мед или другие продукты пчеловодства.
В домашних условиях также используют отвары из различных трав, которые можно употреблять внутрь или использовать для ингаляции. Так, в домашних условиях можно приготовить отвар из ромашки, лаванды, эвкалипта, шалфея лекарственного, зверобоя.
Их нужно взять по две столовые ложки и добавить по столовой ложке тысячелистника и череды. Смесь необходимо тщательно перемешать.
После чего к двум литрам кипятка следует добавить три ложки смеси трав, а затем настаивать полчаса под крышкой. Принимать такой отвар можно по 100 мл через каждые три часа. До начала терапии необходимо удостовериться в отсутствии аллергии на любой из компонентов. Необходимо помнить, что неправильная терапия в домашних условиях может усугубить течение заболевания и привести к осложнениям.
| № п/п | Название учреждения | Адрес | Телефон | Процедура | Стоимость, руб |
|---|---|---|---|---|---|
| 1 | Евромед | г. Москва,
ул. Красина, д.14, стр. 2 |
(495)256-42-95 | Прием | 1200 |
| 2 | МедЦентрСервис | г. Москва,
ул. Нижняя Радищевская, д. 14/2 |
(499)641-09-08 | Прием первичный | 1500 |
| 3 | Академическая поликлиника № 1 | г. Санкт-Петербург, Университетская наб., д.5 |
(812)323-65-18 | Прием первичный | 1000 |
Итак, острый гайморит является острым воспалительным процессом, который может быть как односторонним, так и двухсторонним. При этом двухсторонний процесс является более тяжелым и лечение его более длительное, особенно если человек лечится неверно.
Именно поэтому важно своевременное и правильное лечение, назначить которое должен квалифицированный специалист.
Быстрое обращение за помощью и выполнение рекомендаций врача – залог выздоровления!

Вопрос-ответ
Какие основные симптомы острого гайморита?
Основные симптомы острого гайморита включают сильную боль в области лица, особенно в области щек и лба, затрудненное дыхание через нос, выделения из носа (часто гнойные), повышение температуры тела, а также общее недомогание и усталость.
Как диагностируется острый гайморит?
Диагностика острого гайморита обычно включает осмотр врача, который может использовать рентгенографию или компьютерную томографию для визуализации синусов. Также может быть проведен анализ выделений из носа для определения наличия инфекции.
Какие методы лечения применяются при остром гайморите?
Лечение острого гайморита может включать антибиотики для борьбы с инфекцией, противовоспалительные препараты для уменьшения отека, а также деконгестанты для облегчения дыхания. В некоторых случаях может потребоваться промывание носовых пазух или хирургическое вмешательство для удаления гноя.
Советы
СОВЕТ №1
Обратите внимание на первые симптомы: острый гайморит может проявляться в виде заложенности носа, головной боли и выделений из носа. При их появлении не откладывайте визит к врачу, чтобы избежать осложнений.
СОВЕТ №2
Используйте ингаляции и промывания носа солевыми растворами. Это поможет облегчить дыхание и уменьшить воспаление в носовых пазухах. Однако перед началом процедур проконсультируйтесь с врачом.
СОВЕТ №3
Следите за своим иммунитетом. Употребление витаминов, сбалансированное питание и регулярные физические нагрузки помогут вашему организму справляться с инфекциями и снизят риск повторного возникновения гайморита.
СОВЕТ №4
Не занимайтесь самолечением. При остром гайморите важно следовать рекомендациям врача и не использовать антибиотики без назначения, так как это может привести к развитию устойчивости бактерий.

Серозный. Эта форма весьма схожа с предыдущей, то есть с катаральным гайморитом. Носовые выделения также серозные, однако, они более обильные. К тому же вторичная инфекция в этом случае присоединяется гораздо чаще, что влечет за собой ухудшение самочувствия и усугубление симптомов – развитие гнойного процесса;



аплазия или гипоплазия гайморовой пазухи;

