Осумкованный плеврит является тяжелым заболеванием плевры, при котором происходит сращивание ее листков и накопление жидкости в образованной полости. Недуг развивается не самостоятельно, а в результате осложнения других заболеваний.

За счет образования спаек между ее листками происходит ограниченное накопление выпота. Согласно статистике 80% больных, которые умерли от плеврита, имели осумкованную форму. Заболевание чаще встречается у взрослых. Его симптомы зачастую сходны с признаками других патологий дыхательной системы или органов верхней части брюшной полости, что затрудняет диагностику.
Почему возникает болезнь?
Учитывая то, что недуг развивается в результате других заболеваний, его этиологию рассматривают с привязанностью к основной болезни. Зачастую происходит осумкование экссудата, который образуется при воспалении органов, находящихся в грудной полости или верхней части живота.

Очень часто осумкованный плеврит развивается после пневмонэктомии – удаления легкого. Также к сращению плевральных листьев могут привести проникающие ранения и закрытые повреждения грудной полости. Еще одна причина – осложнение хирургических операций на плевре. Развитие осумкованного плеврита иногда связано с коллагенозами или инфарктами легочной ткани.
Осумкование может быть первичным и вторичным. Под первым понимают скопление экссудата между уже существующими спайками в плевре. При вторичном осумковании плевральный выпот отделяется, и образуются новые сращения.
В основе этого явления лежит оседание фибрина на листках плевры, с последующей организацией и созданием «сумок», уменьшающих объем плевральной полости и площадь, на которой происходит резорбция жидкости.
К его развитию ведут рецидивы основной болезни, сбои в работе иммунной системы, попадание инфекции в выпот. В зависимости от причины возникновения различают следующие формы осумкованного плеврита:
- парапневмотическая;
- туберкулезная;
- панкреатогенная;
- опухолевая;
- посттравматическая;
- ревматическая.
По клинико-рентгенологической картине недуг делится на такие виды:
апикальный – образование «сумки» происходит в верхней части легкого;
- паракостальный – широким основанием выпот направлен к внутренней поверхности ребер;
- базальный – основа«сумки» направлена к верхней поверхности диафрагмы;
- интерлобарный – экссудат скапливается в промежутках между легочными долями; на рентгене выглядит как вытянутые тени, похожие на веретено;
- парамедиастинальный – экссудат накапливается вблизи плевры средостения.
Экссудат может осумковываться частично или полностью. При первом варианте плевральные спайки образуют 1-2 стенки «сумки», вследствие чего возможно перемещение жидкости при смене положения тела. При полномосумковании экссудат ограничивается сращениями листьев плевры со всех сторон. На рентгене он будет выглядеть одинаково, независимо от положения пациента. Кроме того, различают одиночные и множественные зоны осумкования. Недуг бывает односторонним или двухсторонним.
Осумкованный плеврит представляет собой воспаление плевры, которое сопровождается образованием ограниченного скопления жидкости в плевральной полости. Врачи отмечают, что основными причинами данного состояния являются инфекционные заболевания, такие как пневмония, а также травмы грудной клетки и онкологические процессы. Признаки осумкованного плеврита включают одышку, боль в груди, особенно при дыхании, и кашель. Наиболее эффективным методом диагностики является ультразвуковое исследование и рентгенография. Лечение обычно включает дренирование жидкости, что позволяет облегчить симптомы и предотвратить осложнения. В некоторых случаях может потребоваться антибиотикотерапия или противовоспалительные препараты для устранения первопричины заболевания. Врачи подчеркивают важность своевременной диагностики и лечения, чтобы избежать серьезных последствий для здоровья пациента.
Признаки и диагностика
Симптомы заболевания зависят от того, где локализуется скапливание экссудата, какой его объем и насколько давно существует патология. Междолевая форма практически не дает симптомов. При пристеночном виде больной может жаловаться на боли внутри груди, интенсивность которых нарастает во время чихания или кашля. Если осумкование находится в синусе диафрагмы, пациента беспокоят неприятные ощущения в грудной клетке при употреблении пищи, а также боли, отдающие в верхнюю часть брюшной полости.

Парамедиастинальные плевриты дают разнообразную клиническую картину. В некоторых случаях пациента ничего не беспокоит, и болезнь обнаруживается случайно при прохождении медицинского осмотра.
Если осумкование располагается в верхней части парамедиастинального пространства, возникает синдром средостенной компрессии. Главным его симптомом являются боли за грудиной, которые могут быть острыми или ноющими, постоянными или периодическими. Кроме того, больного беспокоит одышка, нарушение глотания, осиплость голоса. У него набухают вены шеи, а лицо становится одутловатым. При локализации осумкованного плеврита в нижней части грудной клетки появляются боли в животе.

Гнойная форма иногда дает симптомы, сходные с эмпиемой плевры. Больной чувствует общую слабость, озноб. Температура повышается до 38-39 градусов. В некоторых случаях симптоматика достаточно стертая. У пациента появляется недомогание, ломота в теле. Повышение температуры незначительное, до 37,5 градуса. Если такую форму не лечить, экссудат может прорваться в бронхи или ткани, окружающие грудную клетку, в результате чего образуются бронхо-плевральные или плевро-кожные свищи.

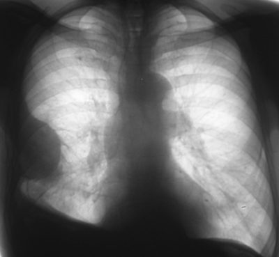
На снимке, сделанном в трех проекциях (прямая, боковая и косая) обнаруживаются характерные участки затемнения. В сложных и сомнительных случаях необходимо наложить искусственный пневмоторакс и пневмоперитонеум или провести компьютерную томографию легких.
Если осумкованный плеврит существует в течение длительного времени, он может повлиять на состояние легочной паренхимы.
Чтобы оценить изменения в ней, следует провести бронхографию – снимок бронхов с контрастом, и ангиопульмонографию – рентгенографическое исследование сосудов легочной ткани с предварительным введением контрастного вещества.
С помощью УЗИ можно оценить количество экссудата и его характер, а также определить наилучший доступ для удаления этой жидкости. Еще один метод обследования – плевральная пункция с последующим лабораторным исследованием выпота. Она позволяет достоверно поставить диагноз. В некоторых случаях целесообразно провести торакоскопию и биопсию плевры.
https://youtube.com/watch?v=ztTOVgWGBNQ
Осумкованный плеврит — это состояние, которое вызывает множество вопросов и обсуждений среди пациентов и медицинских специалистов. Люди часто отмечают, что основными причинами этого заболевания являются инфекции, травмы или онкологические процессы. Признаки осумкованного плеврита могут варьироваться, но большинство пациентов жалуются на острую боль в груди, затрудненное дыхание и кашель. Важно, что многие не всегда связывают эти симптомы с плевритом, что может задерживать обращение за медицинской помощью.
Лечение осумкованного плеврита обычно включает в себя дренирование жидкости из плевральной полости, что значительно облегчает состояние пациента. В некоторых случаях назначаются антибиотики или противовоспалительные препараты. Люди отмечают, что ранняя диагностика и адекватное лечение играют ключевую роль в восстановлении. Обсуждая свои переживания, пациенты подчеркивают важность внимательного отношения к своему здоровью и необходимости регулярных медицинских осмотров.
Терапия и прогноз
Если поставлен диагноз осумкованный плеврит, лечение будет зависеть от типа и объема экссудата, давности болезни, состояния пораженного легкого. Больной должен лечиться под наблюдением онколога или фтизиатра. Терапия проводится только в стационаре.

Если состояние пациента удовлетворительное, назначают физиотерапевтические процедуры. При гнойной форме осумкованного плеврита, после его вскрытия проводят промывание полости плевры. Для этого применяются антисептические растворы. Затем внутрь плевры вводятся антибактериальные средства.
Если осумкованный плеврит вызван инфекцией, врач назначает антибиотики для приема внутрь. При туберкулезной форме используются специальные противотуберкулезные лекарства (Изониазид). Для терапии опухолевых плевритов применяются цитостатики. Лечение недуга ревматической этиологии предусматривает назначение глюкокортикостероидов.
При отсутствии эффекта от консервативного лечения проводятся различные хирургические вмешательства. Они включают плеврэктомию – удаление патологического участка плевры, декортикацию – удаление спаек плевры, и резекцию легкого. Все операции проводятся под общим наркозом. После них больной должен как минимум неделю находиться в больнице.

Осумкованный плеврит – это тяжелая патология, характеризующаяся срастанием листков плевры с образованием полости, которая в дальнейшем заполняется экссудатом.
Поскольку проявления заболевания сходны с признаками других патологий дыхательной системы, при возникновении первых симптомов следует обратиться к врачу и пройти обследование. Ведь прогноз заболевания зависит от своевременности его выявления и правильности лечения. Чем раньше будет начата терапия, тем больше шансов на благоприятный исход.
https://youtube.com/watch?v=BrunJxw7Tco
Вопрос-ответ
Что такое осумкованный плеврит?
Осумкованный плеврит — вариант экссудативного, когда выпот скапливается в одном участке плевры, между спайками. Такой вариант развивается при длительно текущих хронических процессах, когда в плевре уже образовалось большое число спаек.
Каковы причины и симптомы плеврита?
Причины появления плеврита. Инфекционный плеврит вызывают пневмококки, стафилококки, гемофильная палочка, микобактерия туберкулеза, стрептококки, паразиты, грибы. Чаще всего он возникает как осложнение простуды, пневмонии, туберкулеза и некоторых других инфекционных заболеваний.
Советы
СОВЕТ №1
Обратите внимание на симптомы. Если вы испытываете одышку, боль в груди или постоянный кашель, не откладывайте визит к врачу. Раннее выявление осумкованного плеврита может значительно улучшить прогноз и облегчить лечение.
СОВЕТ №2
Следите за своим состоянием после перенесенных инфекций или травм грудной клетки. Осумкованный плеврит может развиться как осложнение, поэтому важно регулярно проходить медицинские осмотры и сообщать врачу о любых изменениях в самочувствии.
СОВЕТ №3
Не занимайтесь самолечением. При подозрении на осумкованный плеврит важно обратиться к специалисту для получения точного диагноза и назначения адекватного лечения. Использование народных средств без консультации врача может усугубить состояние.
СОВЕТ №4
Соблюдайте режим отдыха и питания во время лечения. Правильное питание и достаточный отдых помогут вашему организму быстрее восстановиться. Обсудите с врачом, какие продукты лучше включить в рацион для поддержки иммунной системы.
апикальный – образование «сумки» происходит в верхней части легкого;
