Головной болью, а также болью в ушах страдает практически каждый второй человек. Эти недуги являются довольно частыми явлениями и могут настигнуть любого пациента, независимо от возраста или пола.
Чаще всего боль в ушах, которая отдает в голову, возникает у людей старшего поколения, но далеко не во всех случаях она может оказаться временной и безобидной, как это кажется на первый взгляд. Для начала рассмотрим строение ушей, которые отвечают не только за слух, но и за равновесие. Они состоят из:
наружного уха, то есть ушной раковины и слухового прохода;
- среднего уха, включающего в себя барабанную перепонку, слуховые косточки, евстахиеву трубку;
- внутреннего уха, где расположен кортиев орган и сам слуховой орган с полукружными каналами (аппаратом равновесия).
Самым подверженным к воспалению является среднее ухо и его ткани. Это та часть, куда инфекция проникает очень быстро из носа, постепенно продвигаясь по евстахиевой трубе к барабанной полости в ухе. Попав в ткани уха, инфекция может распространяться в них все больше, поэтому очень важно при первых же симптомах обратиться к специалисту и провести грамотное лечение, иначе болезнь может стать причиной инвалидности или даже смерти пациента.
Какие болезни могут выявиться при этом?
Нередко ушная боль также сопровождается нестерпимыми болями в голове с левой или правой стороны, а причиной тому могут быть заболевания, о которых далее пойдет речь.
https://youtube.com/watch?v=dMigtZA-CKc
Врачи отмечают, что постоянные боли в голове, сопровождающиеся болевыми ощущениями в ушах, могут быть вызваны различными факторами. Одной из распространенных причин является мигрень, которая может проявляться не только головной болью, но и дискомфортом в области ушей. Также стоит учитывать возможность наличия воспалительных процессов, таких как отит, который может вызывать иррадиацию боли в голову.
Некоторые специалисты указывают на важность диагностики, так как подобные симптомы могут быть связаны с более серьезными заболеваниями, такими как невралгия тройничного нерва или даже опухоли. Лечебная тактика зависит от установленного диагноза и может включать как медикаментозное лечение, так и физиотерапию. Врачам важно учитывать индивидуальные особенности пациента и его историю болезни для выбора наиболее эффективной стратегии лечения.
Отит
При остром отите больной чаще всего чувствует боль в правом или левом ухе, которая отдает к зоне лба или височной части. При этом постоянная ноющая боль ощущается только в ухе, а пульсирующую боль время от времени пациент может чувствовать у висков с левой стороны, но возможно будет затронута только правая.

При подобных симптомах больные направляются на сдачу анализов крови и мочи, а также проходят определенные обследования. В них входят тимпанометрия, с помощью которой можно определить подвижность барабанной перепонки в ухе, а также аудиометрия, благодаря которой специалист определяет, снижен слух у пациента или нет. Полную диагностику можно провести у врача отоларинголога.

При малейшем подозрении на осложнения, особенно у детей, больные должны быть направлены на тимпаноцентез.
Процедура представляет собой прокалывание барабанной перепонки и забор жидкости, которая при этом выделяется. Полученная жидкость выделяет особый микроорганизм, который вызывает заболевание, благодаря чему врач назначает пациенту необходимый антибиотик. Тем не менее, врачи редко прибегают к тимпаноцентезу. Чаще всего эту процедуру назначают больным с опухолями и ВИЧ положительным пациентам, которые уже получают химиотерапию или гормоны.
Менингит
Менингит может развиваться при отите в двух случаях: если причиной заболевания являются стрептококки либо стафилококки. Во время активной фазы в начале развития менингита больной очень тяжело переносит нестерпимую боль в области головы с левой стороны либо справа, и ухе.

Во время проникновения инфекции в черепную полость, менингит начинает развиваться уже на третьи сутки (иногда даже раньше) после зарождения острого отита. Лечение менингита должно быть немедленным, иначе человек может получить инвалидность. При полном отсутствии необходимых действий наступает смерть пациента. Обычно для этого достаточно чуть меньше двух недель.
Постоянные боли в голове, сопровождающиеся болевыми ощущениями в ушах, вызывают у людей множество вопросов и беспокойств. Многие отмечают, что такие симптомы могут быть связаны с различными причинами, включая мигрени, синуситы или даже проблемы с шейным отделом позвоночника. Некоторые пациенты сообщают о том, что стресс и недостаток сна усиливают их дискомфорт. Лечебная тактика часто включает в себя комплексный подход: от медикаментозной терапии, направленной на облегчение боли, до физиотерапии и психотерапии. Важно также учитывать индивидуальные особенности каждого пациента, так как универсального решения не существует. Регулярные консультации с врачом и соблюдение рекомендаций могут значительно улучшить качество жизни и снизить интенсивность болевых ощущений.
Мастоидит
Острый отит на стадии развития осложнений провоцирует возникновение мастоидита — воспаления височной кости.

Невралгия тройничного нерва
Данное заболевание характеризуется множеством причин возникновения. Это хроническое сдавливание нерва, зубные болезни, синуситы, кариес, рак мозга и т. д. При этом болевые ощущения в голове с левой или правой стороны очень резкие, интенсивные и расположены обычно с какой-либо одной стороны.

Основные этапы лечения заключаются в обезболивании и снятии воспаления, так как припухлость тканей из-за защемления нерва является причиной ухудшения состояния пациента. При невралгии тройничного нерва назначают Карбамазепин, с помощью которого можно осуществить быстрое, эффективное, а также грамотное лечение. Доза препарата назначается врачом для каждого индивидуально. Как правило, лечение невралгии тройничного нерва занимает минимум месяц, однако улучшение состояния наступает уже на вторые сутки. Если же медикаменты не оказывают должного действия и больной не чувствует облегчения, тогда необходимо хирургическое вмешательство.
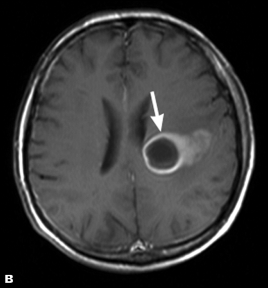
Абсцесс мозга
Абсцесс мозга – это, пожалуй, самая запущенная и опасная стадия. Причиной развития заболевания является излишнее накопление гноя. На начале своего зарождения абсцесс практически ничем не отличается от острого отита, развивается наряду с ним и не обладает сильно выраженной симптоматикой, поэтому выявить этот недуг с первого раза почти невозможно. Для перехода из начальной стадии в более явную, заболеванию требуется около 14 дней, поэтому пациент, вовремя не обратившийся за помощью к специалисту, может вовсе не подозревать о наличии у него абсцесса мозга.

Очень редко заболевание провоцирует шум в ушах, однако такой симптом при абсцессе может стать следствием образования опухоли мозга. В любом случае, пациент должен незамедлительно обратиться к врачу, так как самолечение здесь совсем неуместно, и может только навредить.
Советы и рекомендации
Ошибочно полагать, что головная боль – это непременно симптом какого-либо серьезного заболевания. Распространенными причинами боли в голове являются обычная усталость или переутомление, долгая работа за компьютером, резкая смена климата или погоды, период менструации у женщин.


Вопрос-ответ
Почему болит голова и отдает в уши?
Частая головная боль, локализирующаяся в висках, дискомфорт в ухе — явный признак наличия патологий, связанных с работой кровеносных сосудов. Такие проявления могут сопровождать простудные или вирусные заболевания, нарушения нервной системы и другие воспалительные процессы в организме.
Что такое цефалгия головы?
Головная боль (цефалгия) – это патологическое состояние, с которым хорошо знакомо большинство людей. Она может быть как самостоятельным заболеванием, так и симптомом множества болезней. Неприятные ощущения появляются в области головы и шеи и могут длиться от пары часов до нескольких суток.
Советы
СОВЕТ №1
Обратите внимание на свои привычки. Часто головные боли и боли в ушах могут быть связаны с неправильным образом жизни, недостатком сна, стрессом или неправильным питанием. Попробуйте установить режим сна, избегайте переутомления и следите за своим рационом, включая в него больше свежих овощей и фруктов.
СОВЕТ №2
Не игнорируйте симптомы. Если боли в голове и ушах становятся постоянными или усиливаются, обязательно обратитесь к врачу. Это может быть признаком более серьезных заболеваний, таких как мигрень, синусит или даже проблемы с позвоночником. Ранняя диагностика поможет избежать осложнений.
СОВЕТ №3
Попробуйте методы релаксации. Техники, такие как медитация, йога или глубокое дыхание, могут помочь снизить уровень стресса и, как следствие, уменьшить частоту и интенсивность головных болей. Регулярные занятия спортом также способствуют улучшению общего состояния организма.
СОВЕТ №4
Следите за уровнем гидратации. Недостаток жидкости в организме может вызывать головные боли. Убедитесь, что вы пьете достаточное количество воды в течение дня. Рекомендуется употреблять не менее 1,5-2 литров воды, особенно в жаркую погоду или при физической активности.
наружного уха, то есть ушной раковины и слухового прохода;
