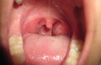
Тонзиллит представляет собой воспаление небных миндалин, которое может быть как хроническим, так и острым.
В последнем случае речь идет об инфекционном заболевании, которое чаще всего называют ангиной, а не острым тонзиллитом.
Однако это одно и то же самое.
Тонзиллит – это не только причина боли в горле (она отмечается еще при ларингите и фарингите), но и фактор риска тяжелых осложнений таких, как ревматизм (в первую очередь страдает сердце и суставы) и гломерулонефрит (поражаются почки).
Препараты для лечения
Своевременное лечение тонзиллита играет важную роль в восстановлении нормального функционирования иммунной системы, так как небные миндалины являются одним из основных ее органов. Основными направлениями терапии этого заболевания являются:
борьба с болезнетворными микробами, поэтому антибиотики при тонзиллите являются первостепенными;
- уменьшение выраженности и полное купирование воспалительной реакции в миндалинах;
- удаление гнойных налетов, расположенных на слизистой глотке.
Подходы к лечению хронического тонзиллита несколько иные, так как на определенной стадии предполагается оперативное лечение (тонзиллэктомия). Однако его можно избежать, если не допускать частого обострения ангин (причем с этим прекрасно справляется комплекс Иммунити, о котором пойдет речь ниже).
Во всех остальных случаях проводится консервативное лечение. Его особенностями являются:
- у взрослых антибиотики при хроническом тонзиллите назначаются только в период обострения;
необходимо применять десенсибилизирующие препараты, так как велика роль токсико-аллергических реакций, усугубляющих тонзиллит;
- препараты для местного лечения – антисептики;
- препараты для стимуляции местного иммунитета миндалин (Иммунити для реализации этой задачи является идеальным препаратом).
Комплекс Иммунити сочетает в се свойства всех групп препаратов, которые рекомендуются для лечения воспаления небных миндалин.
Именно поэтому его рекомендуется включать в комплексную программу терапии тонзиллита у взрослых. Он состоит из 18 лекарственных растений и 6 витаминов, поэтому обеспечивает эффективную протекцию от вирусов и бактерий.
Очень важный факт! Эффективность фитокомплекса Иммунити подтверждена клинически. Доказано, что на 5-й день лечения этим препаратом у взрослых удается добиться практически полного излечения, связанного с элиминацией 99% патогенных микроорганизмов.
Терапевтическое действие препарата Иммунити связано с его эффектами, которые положительно сказываются на состоянии иммунной системы.
Итак, какие же это эффекты?
Основными из них являются:
улучшение лимфатического дренажа, усиливающего выведение токсинов и болезнетворных микробов из организма
- восстановление микрофлоры кишечника, являющейся одной из иммунных защит организма, а также предупреждение роста гнилостных бактерий в кишечнике
- защита от наиболее опасных реакций иммунной системы, которые могут привести к различным осложнениям тонзиллита – это гломерулонефрит и ревматизм
- увеличение скорости движения лейкоцитов, что обеспечивает их быструю активацию при попадании вредоносных бактерий и вирусов в организм человека
- прямое противовирусное действие
- борьба с опасными свободными радикалами, которые повреждают клетки и ткани человеческого организма.
Следует отметить, что существует два режима дозирования комплекса Иммунити.
Какие же это режимы?
У взрослых применять его можно как с профилактической целью, так и с лечебной. Профилактика рекомендуется в период межсезонья, когда риск простудных заболеваний особенно высокий. Для этого достаточно двукратного приема в день. Для лечения Иммунити требуется применять 4 раза на протяжении дня, курс лечения составляет 5 дней.
Применяя Иммунити при тонзиллите и фарингите, удается в кратчайшие сроки добиться эффекта от лечения. О нем можно судить по трем критериям излеченности, которые рекомендованы Всемирной организацией здравоохранения для оценки эффективности терапии при хроническом тонзиллите.
К ним относятся:
исчезновение патологического секрета и гноя с небных миндалин
- уменьшение красноты и инфильтративных процессов на дужках и миндалинах
- исчезновение лимфаденопатии – увеличенных и болезненных лимфоузлов в шейной и поднижнечелюстной области.
Но даже при такой благоприятной ситуации курсовую терапию следует проводить не меньше 3 раз на протяжении года, особенно осенью и весной (межсезонье).
Врачи отмечают, что лечение тонзиллита часто включает назначение антибиотиков, особенно в случаях, когда заболевание вызвано бактериальной инфекцией. Антибиотики помогают устранить инфекцию и предотвратить осложнения. Однако важно помнить, что не все случаи тонзиллита требуют антибиотикотерапии, особенно если заболевание вызвано вирусами. В таких случаях применение антибиотиков может быть не только неэффективным, но и вредным.
Специалисты также подчеркивают наличие противопоказаний к применению антибиотиков. К ним относятся аллергические реакции на препараты, заболевания печени и почек, а также некоторые сердечно-сосудистые патологии. Врачи рекомендуют проводить тщательную диагностику и учитывать индивидуальные особенности пациента перед назначением лечения. Таким образом, подход к терапии тонзиллита должен быть комплексным и основанным на клинических рекомендациях.

Антибиотики для лечения заболевания
Какие антибиотики при тонзиллите применяются? Если говорить по группам, то это на первом месте – пенициллины и цефалоспорины, а на втором – макролиды и фторхинолоны. Ситуация по представителям из каждой групп выглядит следующим образом.
| Название | Форма выпуска | Производ. | Способ приема | Цена |
|---|---|---|---|---|
| Амоксициллин с клавулановой кислотой (Амоксиклав, Аугментин) | Таблетки и раствор | Россия, Германия, Италия и другие | 2-3 раза в сутки 5-7 дней | Минимальная от 700 рублей |
| Цефуроксим | Порошок для приготовления раствора | Франция | 2-3 раза в сутки 5-7 дней внутримышечно или внутривенно | 1 флакон от 60 рублей |
| Цефтриаксон | Порошок для инъекций | Турция, Германия, Россия | 1-2 раза в сутки от 5 до 7 дней внутримышечно или внутривенно | 1 флакон от 250 рублей |
| Цефиксим | Таблетки | Россия, Франция, Германия | 2 раза в сутки 5-7 дней | От 500 рублей |
| Азитромицин (Сумамед, Азитрал) | Таблетки | Германия и другие | По 1 таблетке 3 дня | От 700 рублей |
Лечение тонзиллита часто вызывает много вопросов и споров среди пациентов. Многие люди делятся своим опытом, утверждая, что антибиотики являются основным средством борьбы с этой болезнью, особенно если она вызвана бактериальной инфекцией. Однако не все согласны с этой точкой зрения. Некоторые пациенты отмечают, что антибиотики могут вызывать побочные эффекты, такие как аллергические реакции или дисбактериоз, что заставляет их искать альтернативные методы лечения.
Кроме того, существует мнение, что не всегда стоит прибегать к антибиотикам, особенно при вирусной форме тонзиллита, когда они неэффективны. В таких случаях врачи рекомендуют симптоматическое лечение, включая полоскания и противовоспалительные средства. Важно помнить, что у антибиотиков есть противопоказания, такие как заболевания печени или почек, что также следует учитывать при выборе метода лечения. В конечном итоге, решение о применении антибиотиков должно приниматься врачом на основе индивидуальных особенностей пациента и характера заболевания.
Показания и противопоказания к применению
Антибиотики – достаточно серьезные препараты, которые имеют определенные противопоказания. Именно они и ограничивают их применение у конкретных пациентов. Основными противопоказаниями для цефалоспоринов и пенициллинов (рассмотрим вместе эти две группы, так как они имеют общие ограничения) являются:
аллергические реакции;
- выраженный кандидоз ротовой полости;
- заболевания печени с ее недостаточности (дозу препарата обычно уменьшают в два раза);
- заболевания почек, так как они участвуют в выведении этих лекарственных средств из организма (доза тоже снижается с учетом клиренса креатинина);
- нельзя одновременно применять с аминогликозидами.
Макролиды не следует использовать в следующих случаях:
- аллергия;
- беременность;
- период грудного кормления;
- детский возраст;
- поражение слуха;
- патология печени.
Фторхинолоны также имеют существенные ограничения в использовании. Это:
- аллергическая непереносимость;
ферментная недостаточность (дефицит глюкозо-6-дегидрогеназы);
- беременность;
- грудное кормление;
- дети из-за возможного нарушения костной системы;
- выраженный атеросклероз сосудов мозга;
- недостаточность почек и/или печени.
Основными показаниями для приема антибактериальных препаратов являются любые инфекционные процессы в организме.
Однако при этом следует учитывать спектр чувствительности тех или иных микробов. В связи с этим определенные антибиотики оказываются эффективными при определенных инфекциях.
То есть нельзя применять те, к которым микробы невосприимчивы. Поэтому существуют конкретные рекомендации, которые предписывают, какой препарат чаще всего использовать при том или ином заболевании. Эти рекомендации получены на основании статистических данных о встречаемости патогенов при конкретных инфекциях.
Тонзиллит – серьезное заболевание, связанное с нарушением иммунного статуса организма человека, которое может приводить к серьезным осложнениям и является показанием к оперативному вмешательству.
Поэтому требуется своевременная его профилактика и терапия. С этим задачами хорошо справляется комплекс Иммунити, который практически не имеет противопоказаний в отличие от антибиотиков.

Вопрос-ответ
Можно ли пить антибиотики при тонзиллите?
Если тонзиллит вызван бактериальной инфекцией, врачом обычно назначаются антибиотики. Важно при этом принимать все препараты в соответствии с рекомендациями врача, даже если симптомы улучшатся. Это поможет предотвратить повторное возникновение инфекции и развитие осложнений.
Какие заболевания можно спутать с тонзиллитом?
Тонзиллит и фарингит — это два различных воспалительных заболевания верхних дыхательных путей, которые часто путают из-за схожести симптомов. Тонзиллит представляет собой воспаление небных миндалин (гланд), которые являются частью иммунной системы и служат для защиты организма от инфекций.
Советы
СОВЕТ №1
Перед началом лечения тонзиллита обязательно проконсультируйтесь с врачом. Самолечение может привести к неправильному выбору антибиотиков и ухудшению состояния.
СОВЕТ №2
Обратите внимание на возможные противопоказания к антибиотикам. Убедитесь, что у вас нет аллергии на назначенные препараты, и сообщите врачу о всех принимаемых вами лекарствах.
СОВЕТ №3
Следуйте предписанной схеме приема антибиотиков до конца курса, даже если симптомы исчезли. Это поможет предотвратить рецидив и развитие устойчивости бактерий к лечению.
СОВЕТ №4
Дополнительно к антибиотикам используйте поддерживающие методы лечения, такие как полоскания горла солевым раствором или травяными настойками, чтобы облегчить симптомы и ускорить восстановление.

борьба с болезнетворными микробами, поэтому антибиотики при тонзиллите являются первостепенными;
необходимо применять десенсибилизирующие препараты, так как велика роль токсико-аллергических реакций, усугубляющих тонзиллит;
улучшение лимфатического дренажа, усиливающего выведение токсинов и болезнетворных микробов из организма
исчезновение патологического секрета и гноя с небных миндалин
аллергические реакции;
ферментная недостаточность (дефицит глюкозо-6-дегидрогеназы);